Parodontologie
Parodontologie
Traitement de la gencive et des tissus
Traitement de la gencive et des tissus mous
GENCIVES
GENCIVES
Maladie parodontale
Maladie parodontale
Les maladies parodontales sont des infections bactériennes (microbiennes) qui affectent et détruisent les tissus entourant et supportant les dents. Les tissus affectés sont la gencive, les fibres d’attachement (ligament ou desmodonte) et l’os qui supporte les dents. Ces trois tissus forment le PARODONTE.
Les maladies parodontales représentent, avec la carie dentaire, les infections principales de la cavité buccale.
Elles peuvent être superficielles et ne concerner que la gencive, ce sont les gingivites. Mais sont progressives et peuvent atteindre les tissus en profondeur, elles portent le nom de parodontites.
Pour déclencher une parodontite, il faut deux conditions :
► des agents infectieux (bactéries, virus, parasites)
► un système de défense, buccal ou général, défaillant.


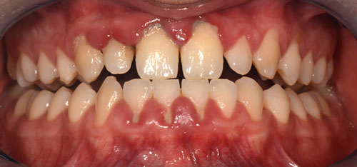
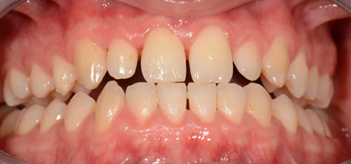
Assainissement parodontale avant-après
Les principes du traitement
parodontal
Les principes du traitement parodontal
L’objectif du traitement des parodontites est de désinfecter l’espace situé entre la gencive et la dent en éliminant la plaque bactérienne et le tartre.
Elle se déroule en 3 étapes :
1. Prélèvement bactérien, grâce au microscope nous pouvons identifier les bactéries pour cibler le traitement
2. Protocole de désinfection de la bouche
3. Traitement de surfaçage pour assainir efficacement la surface des racines dentaires et la gencive en profondeur.

Le microscope à fond noir permet :
► d’identifier rapidement la flore microbienne présente dans les poches parodontales
► de compléter l’examen parodontal et d’aider à poser un diagnostic plus précis
► de juger de l’activité de la maladie
► de vérifier au cours du traitement le contrôle de l’infection
► de suivre l’évolution du traitement jusqu’à la guérison
LES DIFFÉRENTS STADES DE LA MALADIE PARODONTALE

Stade 1 :
La gingivite
Pour conserver des dents saines, il est essentiel d’assurer également la santé de vos gencives et de supprimer les dépôts de tartre sous-gingivaux.
Stade 2 :
La parodontite débutante
Une inflammation non soignée peut endommager votre dentition durablement. Pour ne pas en arriver là, nous mettons en place des soins adaptés destinés à enrayer le processus et à préserver durablement la santé de vos dents.
Stade 3 :
La parodontite modérée
Les maladies parodontales ou parodontites sont des infections bactériennes qui se manifestent par des saignements gingivaux, des rétractions de la gencive et une perte osseuse autour de la dent pouvant être à l’origine de mobilités dentaires.
Stade 4 :
La parodontite avancée
La plaque dentaire et le tartre sont les facteurs déclenchants de la maladie parodontale puisqu’ils servent de support aux bactéries à l’origine de ce phénomène.
